ISSN: 2637-6636

Georgakopoulou EA1, Laskaris G2, Kittas C3 and Stoufi E4*
Received: June 17, 2022; Published: June 28, 2022
*Corresponding author: Stoufi E, Athens Euroclinic7-9 Athanasiadou & D Soutsou Streets, Greece
DOI: 10.32474/IPDOAJ.2022.07.000274
This is a very rare case report describing a 22-year-old male patient with a soft palate embryonic rhabdomyosarcoma stage 1. Rhabdomyosarcoma is a childhood tissue sarcoma that is believed to be derived from primitive mesenchymal cells and can be found in a number of organs and tissues, with very few cases involving the oral cavity. To add to the current status of knowledge we report this patient
Embryonal rhabdomyosarcoma is a very rare tumor with only a few cases reported in the oral cavity [1]. Rhabdomyosarcomas are malignant skeletal muscle neoplasms that derive from embryonic mesenchyma [2]. Embyonal is the most common histological subtype of rhabdomyosarcoma, while the other subtypes are Botryoid, Alveolar and Pleomorphic [3]. This is usually a pediatric malignancy, with few rare descriptions of adolescent and young adult patients. The clinical characteristics are that of an irregularly shaped ulcerated mass and are non-specific. Histology reveals a small, round, undifferentiated cell population with basophilic cytoplasm, a pattern similar to a group of round cell tumors [4]. Accurate diagnosis and classification of tumors is not possible solely on the basis of histological characteristics but requires further laboratory investigations: immunohistochemistry, electron microscopy, cytogenetic analysis, and molecular biology [5,6]. Early diagnosis and disease-specific treatment may have a profound impact on prognosis, a tertiary center study in pediatric patients recorded a high 5-year survival rate(5-year failure-free survival rate of 90%) in patients with embryonic rhabdomyosarcoma stage 1) [7]. Certain reports in head and neck patients showed a significant difference in prognosis when the disease was diagnosed at an early stage without metastatic progression of [8,9]. This case describes a young male post adolescent patient (22 years of age) with a soft palate developmental rhabdomyosarcoma stage 1.
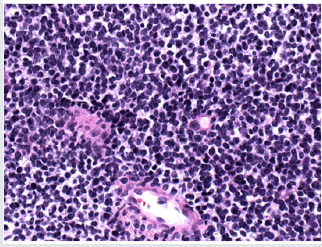
Young male patient complained about soft palate growth. The oral examination showed a non-tender ulcerated mass with an irregular shape and a size of less than 2 cm on the midline of the soft palate (Figure 1). The medical and social history of the patient were unremarkable. A few weeks before the appointment, the palatal lesion was felt by the patient. Based on the clinical features, the working diagnosis was a soft tissue oral malignancy, and a biopsy was scheduled. Histology was consistent with small round cell tumor and a large number of immunohistochemistry stains were scheduled for final diagnosis (Table 1 & Figure 2). Depending on the positivity of Myogenin and Vimentin, the final diagnosis was soft palate embryonic rhabdomyosarcoma. Additional imaging analysis did not reveal any other locations of involvement. The treatment plan consisted of a combination of ifosfamide, vincristine and actinomycin chemotherapy together with 28 radiotherapies (total 5040cGy). The patient had a complete remission of the disease, and no surgery was scheduled. The patient is disease-free one year after initial diagnosis (Figure 3).
Rhabdomyosarcoma is a very rare and highly aggressive malignancy that usually affects children and rarely young adolescents [10]. The prognosis is largely dependent on the stage of the tumor. Diagnosis is a challenge. The clinical signs are nonspecific. Histological image is common in a number of malignant tumors grouped together as “small round (blue) cell tumors,” but each has a completely different prognosis and requires a different therapeutic strategy (Table 1). Accurate diagnosis is largely dependent on immunobiological biomarkers. Rhabdomyosarcomas express Myogenin and MyoD1, which are myogenic transcriptional regulatory proteins identified during skeletal muscle differentiation 1. Early and accurate diagnosis is important as it may make the disease manageable. In a pediatric stage 1 group of patients 7, favorable prognosis was observed. There are only limited case reports in adolescent and postadolescent patients and reported variable treatment strategies cannot support accurate prognosis. Treatment includes traditional surgery, chemotherapy (actinomycin D, doxorubicin, ifosfamide, cyclophosphamide, etoposide, or vincristine) and radiotherapy [11]. Our patient was treated with a mixture of chemotherapy and radiotherapy that fully controlled the disease. So far, he has performed excellently. Treatment sequlae, especially in children, are numerous, including dental abnormalities, hypoplastic jaw bones, trism and hyposalivation / xerostomia, and can have a serious impact on patient quality of life [11].
This very rare case shows the need for a thorough investigation of any abnormal growth of soft tissue in the oral cavity. The best screening method for all types of oral malignancies remains the meticulous oral and extraoral clinical examination during dental visits and the prompt referral of any abnormalities observed.
Editorial Manager:
Email:
pediatricdentistry@lupinepublishers.com
Bio chemistry
University of Texas Medical Branch, USA
Department of Criminal Justice
Liberty University, USA
Department of Psychiatry
University of Kentucky, USA
Department of Medicine
Gally International Biomedical Research & Consulting LLC, USA
Department of Urbanisation and Agricultural
Montreal university, USA
Oral & Maxillofacial Pathology
New York University, USA
Gastroenterology and Hepatology
University of Alabama, UK
Department of Medicine
Universities of Bradford, UK
Oncology
Circulogene Theranostics, England
Radiation Chemistry
National University of Mexico, USA
Analytical Chemistry
Wentworth Institute of Technology, USAMinimally Invasive Surgery
Mercer University school of Medicine, USA
Pediatric Dentistry
University of Athens , Greece
The annual scholar awards from Lupine Publishers honor a selected number Read More...
