
Muhammad Asad Suliman1*, Ishtiaq Hassan1* and Kalim Ullah2
Received: October 17, 2022; Published: November 01, 2022
*Corresponding author: Muhammad Asad Suliman, Ishtiaq Hassan, Department of Biotechnology and Genetic Engineering Hazara University Mansehra, Pakistan
DOI: 10.32474/CTBM.2022.03.000155
Beta thalassemia is one of the most common genetic diseases in Pakistan. It is a recessive type of disorder and is associated with mutation in beta globin gene. More than 300 genetic mutations are already reported from this gene. These mutations cause changes in beta globin protein. All the patients with mutations show beta-thalassemia phenotype. This study was designed to assess the distribution and genetic mutations of beta thalassemia in HBB gene across the district Karak. The DNA was extracted from the collected samples and gene specific point mutation was assessed using ARMS-PCR. The analysis showed the homozygosity or heterozygosity of the specific mutations (IVSI-5, CD 41-42, FSC 8-9 and CAP +15). Appropriate statistical method was used to differentiate the point mutation which is distributed in the people. Dendrogram analysis revealed variations among the studied cases. A total of three clusters were observed containing all the 46 samples (patients) based on the Euclidian distance (ranged 0-37). C-III was the biggest of all cluster as it was having 17 (36.96%) out of 46 samples while C-I and C-II was having 14 (30.43%) and 15 (32.61%) samples, respectively. Profile plot was also constructed on samples to observe the variation of each marker across all the population. It was revealed that marker IVS1-5 have values 2.3, 1.7 and 1.1 in clusters C-I, C-II and C-III respectively. Primer CD 41-42 showed values of 1.4, 2.8 and 1.2, primer FSC 8-9 had values of 1.6, 1.7 and 1.9, marker CAP 1-5 had values 2.4, 1.5 and 1.2 for C-I, C-II and C-III, respectively. Overall, the most prevalent mutation identified in this study was IVSI-5, FSC 8-9, CAP +15 and CD 41-42. It was also noted that most of the patient’s parents were not first cousin, 50% patients parents were second cousins. Moreover, it was observed that not proper diagnostic centers or genetic counseling centers are available at district Karak. Hence, if the government and non-governmental organizations play their role in establishment of proper pre-natal and genetic counseling centers the disease burden of the area can be minimized.
Beta thalassemia from a group of genetic blood disorders is characterized by abnormal beta chains in hemoglobin protein and caused by mutations in beta globin gene. The phenotype of this mutation depends on its genetic condition i.e., homozygous or heterozygous [1]. Hence thalassemia comprehends a range of severity of disorder from asymptomatic carrier to severe dependence on blood transfusion. Hemoglobin subunit beta (HBB) gene was mapped on chromosome 11 on its short arm at band of 11p15.4–11p15.5. Beta globin gene sub-regions contain fetal A-gamma, G-gamma, pseudogene (ψB1), and delta globin genes. This condition is caused by point mutations in globin gene that leads to reduced or deflects the synthesis of beta chains on hemoglobin molecule. Allelic heterogeneity at molecular level is affected by factors outside this globin gene and results in variation of phenotypes. Genetic counselling, prenatal diagnosing and population screening is offered on those areas where the disease prevalence is too high [2]. Research reports highlighted that, β–thalassemia in parallel with HbE hemoglobin variant results in HbE/ β–thalassemia, representing most sever type of β –thalassemia in Asian territories [3]. The complexity of β– thalassemia is interlinked with the spectrum of hematological malignancies ranging β–thalassemia major, β–thalassemia minor and β–thalassemia intermedia [4]. Expert, hematologists affirmed that, same gene mutations represents different type of thalasemia suggesting significant involvement of epigenetics. The role of epigenetics in severity of the β–thalassemia has also been reported [Mettananda et al., 2018].
Alpha thalassemia is one of the most common genetic abnormalities of hemoglobin. The primary defect is reduced or absent production of alpha-globin chains, which make up fragments of several types of hemoglobin (Hb), including adult HbA (alpha2- beta2), fetal HbF (alpha2-gamma2), and a minor component of HbA2 (alpha2-delta2), [5]. Three main conditions of β-thalassemia have been reported: thalassemia major, intermediate and minor one. Individual effected with major thalassemia face severe anemic condition at early 2 years of life after birth and seeks urgent medical assistance and regular RBC blood transfusion for their survival [Borgna et al., 2005]. Regular blood transfusion also has side effects on body such as diabetes mellitus, growth retardation and all other iron over efficiency disorders. Intermediate thalassemia appears later in life and person face moderate anemic conditions and doesn’t require regular blood transfusion [2]. 400 β-thal mutations have been reported yet, out of which 20 are most frequent ones which gives out almost 90 percent thalamic rate [6]. In general, an individual acquire two beta-globin genes, one gene from each parent. The transmission of one defective allele from parents to offspring may causes carrier of defective genes in next generation. An individual carrying one defective allele is called beta-thalassemia carrier or beta-thalassemia minor case. Discussing the clinical conditions of beta-thalassemia minor case, it seems somehow equal to normal Hb level (Christianson et al., 2004). Β-thalassemia is an autosomal recessive disorder, its genotype chances are 50% of being asymptomatic carrier, 25% chance of being effected and 25% chance of being unaffected or even not a carrier. Heterozygotes are carrier of mutations and most of times remains symptomatic but sometime show mild symptoms of being anemic [2]. Intriguingly, once both parents are the carrier of beta-thalassemia and after marriage there is possibility of 25 % beta-thalassemia major offspring. At the infant stage, severe anemia like conditions is commonly observed. The beta-thalassemia major cases require lifelong blood transfusion for their survival (Noor et al., 2020).
Thalassemia is the most common genetic blood disorder in Pakistan and a major public health problem. This places great psychological and financial stress on affected families and places a huge burden on the national health system [7]. Individual with beta thalassemia major are almost never symptomatic at birth because of the presence of HbF, but signs to develop through six months of age [8]. The disease is primarily caused by various molecular defects, including point mutations, insertion of stop codons in mRNA that encode β-thal genes. Histopathological features associated with heterogeneous carriers of β-thalassemia may include hypopigmented erythrocytes, microcytosis, and elevated hemoglobin with an unbalanced ratio of α/β-globin chains [9].
More than 9,000 children are born each year with homozygous beta thalassemia [6]. One of the predominant and frequent mutations in β-thal patients among the Pathan and Siraiki ethnic groups is Fr 8-9(+G), which can be detrimental to morbidity, and is one of the most common mutations found in Pakistanis families [10]. It is estimated that the carrier rate in various ethnic groups in Pakistan is between 5.0 and 7.0%. This probability chances may increase up to 62.2% and cover almost 9 million carrier’s patients in Pakistan [11]. Most of the variants are reported to be point mutation [12].
Patients suffering from beta thalassemia were enrolled from District-Karak by using pre-designed questionnaires. All the demographic details including, gender, age, clinical conditions, record of early diagnosis, familial history were noted by direct interview from the patients and their families. Most people knew about this disorder from media or from elder ones and responded positively to our questions.
Blood samples (3 ml) from transfusion-dependent child with thalassemia were collected under aseptic conditions. The collected blood samples were kept in vacutainers containing anticoagulant (EDTA). The tubes were stored at -20°C and further processed for DNA extraction.
Whole blood was collected in EDTA tubes to prevent the blood clotting and DNA damages. 200 μl of sample was mixed with 400 μl of lysis solution and incubated at 65°C for 10 min. Immediately after incubation, 600 μl of chloroform was added and then centrifuged at 10,000 rpm for 2 minutes. The precipitation solution was prepared by mixing 720 μl of sterile deionized water with 80 μl of the supplied 10-fold concentrated precipitation solution. Then the DNA obtained by centrifugation was transferred to a new tube and 800 μl of freshly prepared precipitation solution was added. After mixing with several inversion centrifuge at 10,000 rpm (~9400 x g) for 2 min. Dissolve the DNA pellet obtained after centrifugation in 100 μl of NaCl solution by gentle shaking. 300 μl of cold ethanol was added and left for 10 minutes for DNA precipitation at -20°C, then the rotation speed was reduced again at 10,000 rpm (~9400 g, 3-4 min). The ethanol was removed, the precipitate was washed with 70% cold ethanol, and then the DNA was dissolved in 100 μl of sterile deionized water with gentle shaking.
ARMS-PCR (amplification refractory mutation system) is efficient and authentic method to diagnose point mutation also called as single nucleotide polymorphism. Different amplification conditions, temperatures and time duration was optimized for this study (Medrano & de Oliveira, 2014). It is kind of modified PCR in which allele specific primers are designed to detect mutations or polymorphism. It can be also called as allele specific PCR. Single PCR is performed which amplify mutant or normal allele if any of it present. But primers are different for normal and mutant one. The Table 1 shows the primers used in screening the point mutations through ARMS PCR.
A PCR master mix was prepared for different samples. The ingredients in the reaction were in the ratio as shown in Table 2. The primers were changed according to the screening mutation. The optimal conditions for the concentration of Taq DNA polymerase, template DNA, primers, and MgCl2 were used. The standard (PCR) setup consists of four main steps. Master Mix and templates were mixed in PCR tubes. It was mixed gently and samples was set in the slots of PCR machine. At 94 °C denaturation of the two strands of DNA started. In 40 seconds, primer will attach to the denatured single stranded DNA sample. Different primers were used so their annealing temperature was different, IVS1-5 at 55°C, CD 41-42 at 58.5°, CAP+15 at 52°C and FSC 8-9 at 54°C. After annealing 40 second was required to reach the process for its initial extension. At this stage dNTPs started to bind with the complementary bases. At the last step final extension was performed within 10 minutes. The amplified DNA was ready to be evaluated by agarose gel electrophoresis.
The extracted DNA was placed in an agarose gel for qualitative analysis of DNA fragments of different sizes. The PCR amplified products was run on agarose gel to check the homozygosity and heterozygosity of the specific mutations. Specific protocol for electrophoresis was followed and are as below. Agarose gel was prepared in a concentration of about 0.5%-2%. The concentration of gel was prepared in accordance with size of DNA particles needs to be separated. Gel buffers i.e., triacetate EDTA and tris boratye EDTA were used for complete mixing of agarose to make homogenous mixture of gel. Ethidium bromide having 0.5 μg/ml concentration was added for staining purpose. Liquid gel was poured on plate and let it stay to attain room temperature. After the gel is ready, remove the comb carefully so that wells were not ruptured. Loading dye i.e., 0.25% bromophenol blue was added to tract DNA sample in a gel. After the dye reached to other corner then analysis of gel was performed through gel documentation system.
Frequency and percentage of male and female samples were determined using Microsoft excel. Chi-square test was applied to assess the association of HBB gene associated mutation with heterozygosity. Dendrogram and profile plot was done using “R” package.
In the current study B. thalassemia patients were enrooled from district Karak of Khyber Paktunkhwa. It is located 123 km from Peshawar along the main Indus Highway between Peshawar and Karachi. It is located at 33°7’12 North latitude and 71°5’41 East longitude. A total of 46 B. thalassemia patients took part in this study. 21 patients were from Tehsil Karak, 11 patients were from Tehsil Banda Daud Sha and 14 patients were from Tehsil Takhte Nasrati Table 3.
It was found that the minimum age of the patient was 9 years and the maximum age of one of the patients was 20 years. Therefore, age wise the patients were divided into different age groups i.e 9-12, 13-16 and 17-20 years. The highest ratio 47.5% of B. thalassemia patients were recorded in age group 13-16 years. In age group 9-12 years 33% patients were found while the minimum of 19.5% cases were recorded in age group 17-20 years Table 4.
The patients were investigated about the family history of the disease. It was found that 25 patient parents were second cousins, one patient parents were first cousin while twenty patients parents were from distinct families Table 5.
Karak District is divided into three Tehsils i.e., Tehsil Karak, Tehsil Banda Daoud Shah and Tehsil Tahte Nasrati. It is further sub-divided into nineteen union councils i.e Karak South, Karak North, Jandri, Sabirabad , Palosa Sar, Ghundi Meer Khan Khel, Isak Chountra, Mitha Khel, Bahadar Khel, Nari panus, Jatta Ismail Khel, Teri, Gurguri, Takhte nasarati, Mianki, Shanawa Guddi Khel, Warana Ahmed Abad, Jahangiri, and Chukara. The sample numbers from each union council of three tehsils has been mentioned in Table 6.
The extracted DNA was placed on an agarose gel for quality analysis (Figure 1). Good quality DNA was used for further analysis.
All the forty six samples were initially screened for IVS15 mutation through ARMS-PCR primer shown in Table 1. It was found that sample numbers 1, 2, 3, 10, 11, 13, 15,20, 21, 22, 23, 24, 25, 26, 29, 31, 34, 36, 38, 39, 42, 43, 45, and 46 were showing amplification only on the mutant primer and therefore these 24 samples were declared as homozygous for the IVSI-5 mutation Group-I, (Table 7) as shown in Figure 2b. A total of 16 samples showed bands (Figure 2a) in which eleven of the samples i.e 2, 3, 22, 23, 25, 26, 36, 38, 39, 43 and 46 Group-III (Table 7), the PCR amplification showed bands on both normal and mutant primers and therefore were heterozygous for the mutation. Similarly, five out of sixteen samples (4, 12, 32, 35, and 37 ) were such in which the mutant primers didn’t give any amplification but the normal primers showed positive amplification and therefore these samples were normal (Figure 2a).
All the forty six samples were also screened for CD 41-42 mutation through ARMS-PCR as shown in Table 1. It was found that twenty two sample i.e 1, 2, 5, 10, 12, 16, 17, 19, 23, 25, 27, 29, 35, 37, 38, 39, 40, 41, 42, 43, 44, and 45 have shown the bands identical to the primer band pointing the mutant allele for thalassemia. Therefore, these twenty two samples were declared as homozygous for the CD 41-42 mutation Group-I, (Table 7) as shown in(Figure 3b). Eleven samples i.e 2, 17, 23, 35, 38, 39, 41, 42, 43, 44 and 45 out of 46 samples showed bands (Figure 3a). on both normal and mutant primers and therefore were heterozygous for the mutation. Similarly, seven out of eighteen samples (3, 4, 11, 22, 32, 36, and 46) were identified as normal (Figure 3a & 3b).
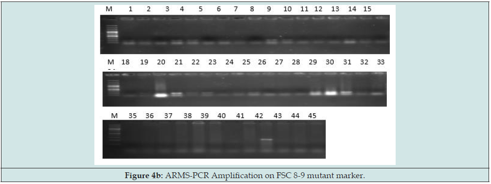
Forty six samples were also screened for FSC 8-9 mutation through ARMS-PCR with primer as shown in Table 1. It was found that sample i.e 1, 4, 5, 10, 11, 15, 19, 20, 21, 22, 23, 26, 30, 31, 32 and 43 were showing amplification only on the mutant primer and therefore these 16 samples were declared as homozygous for the FSC 8-9 mutation Group-I, (Table 7) as shown in Figure 4b. Thirteen (1, 4, 5, 10, 11, 15, 19, 20, 21, 26, 30, 31, and 32) out of 46 samples showed bands (Figure 4a) on both normal and mutant primers and therefore were heterozygous for the mutation. The remaining samples i.e 2, 3, 7, 8, 9, 12, 13, 14, 16, 17, 18, 25, 27, 28, 29, 33, 34, 35, 36, and 37 were identified as normal (Figure 4a & 4b).
Forty six samples were also screened for CAP 1-5 mutation through ARMS-PCR with CAP 1-5 primer as shown in Table 1. It was found that seven samples i.e 17, 22, 29, 30, 40, 43 and 45 were showing amplification only on the mutant primer and therefore these 8 samples were declared as homozygous Six 1, 7, 8, 9, 16, and 35 out of 46 samples were identified as normal (Figure 5a & 5b).
Compound heterozygosity exists in most people and they contains two or more recessive allele at a particular loci. Being autosomal recessive disorder person with compound heterozygosity shows severe symptoms and required transfusion at regular interval for their survival. Out of 46 samples, 6 turns out be compound heterogenic for mutant alleles. All the patients are 2 allele mutagenic sample no 2, 23, 38, 39 and 43 are the compound heterozygotes on primer IVS1-5 and CD41-42 and sample no 26 are compound heterozygotes on primer IVS1-5 and FSC 8-9.
In Table 7 about 24 thalassemia cases were having homozygous in HBB gene, whereas 12 cases were found normal and 10 heterozygous cases were showing bands against both normal and mutated IVS1-5 primers respectively (Figure 2b). Likewise, 22 cases were due to homozygous in HBB gene while 13 were normal and 11 were heterozygous in case of CD 41-42 primers. FSC 8-9 primer result showed 16 cases were mutated, 18 cases were normal and 12 cases were heterozygous. CAP 1-5 has 8 cases were mutated, 6 cases were normal. Chi-square test was applied to assess the association of HBB gene associated mutation with heterozygosity. We observed a higher chi-square test value = 51.75, than critical value of chi-square test affirms that, the null hypothesis was rejected. The P– value < 0.0001 at 95 % confidence interval suggest a significant association of subject primers for mutational analysis in HBB gene (Table 7). Further, our study interprets that, highest cases 24 of beta-thalassemia were associated with IVS1-5 mutations. In parallel with IVS1-5 mutations, the highest number of heterozygous mutations (26 %) was linked with CD 41-42 in district Karak Khyber-Pakhtunkhwa, Pakistan.
Dendrogram analysis revealed variations among the studied cases. A total of three cluster were observed containing all the 46 samples (patients) based on the Euclidian distance (ranged 0-37). Cluster I (C-I) was having samples 1, 3, 12, 20, 24, 28, 32, 36, 37, 38, 41, 42, 43 and 44. Similarly cluster II (C-II) contained samples 4, 5, 10, 11, 16, 17, 18, 19, 22, 25, 27, 39, 40, 45 and 46. While samples 2, 6, 7, 8, 9, 13, 14, 15, 21, 23, 26, 29, 30, 31, 33, 34 and 35 were present in third cluster (C-III). C-III was the biggest of all cluster as it was having 17 (36.96%) out of 46 samples while C-I and C-II was having 14 (30.43%) and 15 (32.61%) samples respectively (Figure 6). Profile plot was also constructed on samples to observe the variation of each marker across all the population. It was revealed that marker IVS1-5 have values 2.3, 1.7 and 1.1 in clusters C-I, C-II and C-III respectively. Primer CD 41-42 showed values of 1.4, 2.8 and 1.2, primer FSC 8-9 had values of 1.6, 1.7 and 1.9, marker CAP 1-5 had values 2.4, 1.5 and 1.2 for C-I, C-II and C-III respectively.
Blood disorder types characterized by low levels or missing normal globin chains in the normal red blood cell protein hemoglobin are characterized as thalassemia. There are four types of globin chains called alpha (α), beta (β), gamma (γ) and delta (δ). Depending on which chain is broken, thalassemias are called α-, β-, γ-, δ-, δβ- or εγδ β-thalassemias [13]. β-thalassemia, an autosomal recessive hemoglobinopathy, is one of the most common genetic diseases worldwide. It results from the deficiency of β-globin proteins that are necessary for the production of normal hemoglobin molecule (HbA, β2) in an adult human [14]. In present study 46 patients were included it was found that 25 patients parents were second cousin, one patient parent was first cousin while twenty patients parents were distinct families. Estimated carrier rate in Pakistan is 5-7%, with 9.8 million carriers in the total population [15]. Study conducted in Kohat district reported that the 68.25% patients parents were found to be first cousin, 22.25% were related to second cousin and 9.5% were not related. The study further reported that the parents of 62 patients were from the same ethnic group the observed data suggest the key role of consanguinity in frequency of β-thal (Suraiya et al., 2020). Study conducted in Mardan Division KPK studied nine families where most of the intermarriages because it was found that 67.7% marriages were consanguineous, most of them are the first cousin and 33.3% of marriages were not consanguineous [11]. Study conducted in district Bannu Khyber Pakhtunkhwa Pakistan out of 180 subjects 133(74%) patient parents were first cousins and 47(26%) patient parents were unrelated [16].
IVS 1-5, FSC8-9, CAP1-5, and CD41-42 mutations found in present study, are contributing HBB gene led disorders in district Karak, Khyber-Pakhtunkhwa, Pakistan. Our findings are in line with findings as he claimed IVSI-5, Fr8-9, & IVSI-I was the most common genetic mutations identified in Pakistan. While among the regionally prominent mutations, also supported by present studies i.e IVS-1-5, IVS-1-1, IVS-II-1, CAP1-5, Cd 1-5 were reported in Khyber Pakhtunkhwa province. IVSI-5(40.89%), Fr8-9 (15.7%), & IVSI-I(8.17%), were the most common genetic mutations identified in Pakistan [17]. Due to poverty many of the people don’t opto for medical advice or testing individual which makes it unclear whether the individual is thalassemic or not furthermore they usually opto consanguineous marriages as well. Several countries now have a comprehensive national prevention program that includes carrier screening, education, counseling, prenatal diagnosis, preimplantation and public awareness, such countries included UK, Iran, Hong Kong, Singapore, Greece, Taiwan, Italy, Cyprus, Australia, France, Belgium, and Germany [18]. A typical example is a survey of populations in North Africa, West Asia and South India which found that consanguineous marriages are culturally and socially preferred, accounting for 20–50% of all marriages, with first cousin unions accounting for nearly a third of all marriages [19]. As far as Karak is concerned, there is no concrete evidence has been reported which means less or no study has been done before which makes our study the first reference report for Karak region. More study are required to get accurate and clear picture of the disease in order to do proper comparison with the world and to design strategies for the control of the disease.
Our study serves a basic guideline tool for stakeholders to assess the risk factors and to design prevention strategies for mitigating beta-thalassemia spread in future generations. Analysis revealed three cluster (C-I, C-II and C-III) containing all the 46 samples (patients) based on the cluster analysis. C-III was the biggest of all cluster as it was having 17 (36.96%) out of 46 samples while C-I and C-II was having 14 (30.43%) and 15 (32.61%) samples respectively. Our study also concludes that IVS-1-5 (G-C) is the most common mutation in patients with beta thalassemia in the District Karak population, followed by FSC 8-9, CAP 1-5 and CD41- 42 mutations. Since most of the parents were second cousins, the high frequency of these mutations in children is due to the lack of counseling centers and parental diagnostic centers in Karak.
Recommendations for screening consanguineous couples and their offspring are needed to standardize genetic services. Screening based on common autosomal recessive conditions in populations and communities may be considered. The carrier should also be registered as they have potential to transmit disease though they are phenotypically normal. There is also a need to establish diagnostic laboratories for blood testing like CBC and special hemoglobin tests centers in Pakistan, especially in Karak, KPK where awareness is almost nil. Furthermore, peoples of Karak and similar regions are unaware for such type of disorder so it is necessary to increase the awareness program in the local people of district Karak. These Medical Centre will not only identify or aware them of their disorder but will also help in detection of other diseases and disorder as well. Also, the best method to overcome a genetic disorder such as beta thalassemia is to support public health efforts such as carrier screening, genetic counseling and prenatal diagnosis to control affected births as treatments are very expensive or unavailable in Pakistan, especially in such regions like Karak are not advanced.
Bio chemistry
University of Texas Medical Branch, USA
Department of Criminal Justice
Liberty University, USA
Department of Psychiatry
University of Kentucky, USA
Department of Medicine
Gally International Biomedical Research & Consulting LLC, USA
Department of Urbanisation and Agricultural
Montreal university, USA
Oral & Maxillofacial Pathology
New York University, USA
Gastroenterology and Hepatology
University of Alabama, UK
Department of Medicine
Universities of Bradford, UK
Oncology
Circulogene Theranostics, England
Radiation Chemistry
National University of Mexico, USA
Analytical Chemistry
Wentworth Institute of Technology, USAMinimally Invasive Surgery
Mercer University school of Medicine, USA
Pediatric Dentistry
University of Athens , Greece
The annual scholar awards from Lupine Publishers honor a selected number Read More...
