ISSN: 2637-4706

Anubha Bajaj*
Received: September 19, 2023; Published:September 22, 2023
Corresponding author:Anubha Bajaj, Consultant Histopathologist, Panjab University, India
DOI: 10.32474/DDIPIJ.2023.04.000182
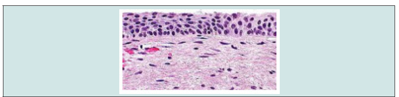
Atrophy of uterine cervix is comprised of enhanced quantification of basal and parabasal squamous epithelial cells and may simulate squamous intraepithelial lesion (SIL) on morphological grounds. Lesion may be discerned upon clinical determination of atypical squamous epithelial cells of undetermined significance (ASCUS). Atrophy of uterine cervix may enhance discernible incidence of atypical squamous epithelial cells of undetermined significance (ASCUS) which may be appropriately enunciated with Papanicolaou smears obtained from peri-menopausal and post-menopausal female subjects. Generally, atrophy of uterine cervix exemplifies cytological smears of scanty cellularity. Besides, atypical squamous epithelial cells of undetermined significance (ASCUS) may be encountered within smears obtained from postmenopausal women. Aforesaid alterations may recede following application of topical oestrogens. Cytological evaluation depicts enhanced quantifiable parabasal and basal squamous epithelial cells which configure sheets and syncytial-like cellular aggregates. Alternatively, crowded clusters of squamous epithelial cells permeated with hyperchromatic nuclei may be encountered. Besides, naked nuclei and miniature squamous epithelial cells may be observed [1,2]. Constituent squamous epithelial cells demonstrate enhanced nucleocytoplasmic ratio although nuclear chromatin appears uniform. Additionally, pseudo- keratinized squamous epithelial cells pervaded with pink to orangophilic cytoplasm may be enunciated, possibly occurring on account of cellular degeneration (1,2). Cytological smears obtained from instances with severe atrophy of uterine cervix may exhibit a ‘dirty’ background which is pervaded with an infiltrate of acute and chronic inflammatory cells admixed with giant cells, cellular and nuclear debris, fibrin, foci of ancient haemorrhage and ‘blue blobs’ constituted of condensed mucus or degenerated, bare nuclei [2,3]. Smears subjected to examination with liquid based cytology may demonstrate a ‘clean’ background associated with amalgamation of atrophic squamous epithelial cells. Atrophy of uterine cervix may simulate urothelial metaplasia upon cytological grounds although constituent cells display prominent intercellular bridges. Cellular nuclei appear bland, elongated, grooved and uniformly dispersed (2,3). Upon microscopy, superficial epithelial cell layers appear devoid of cellular or nuclear atypia or mitotic figures. Stratified squamous epithelium layering the atrophic uterine cervix appears bland and immature Figure 1. Constituent squamous epithelial cells depict prominent intercellular bridges. Cellular nuclei appear uniform, elongated, grooved, and regularly spaced Table 1. Distinctive foci of nuclear enlargement or hyperchromatic nuclei may be observed. Foci of pseudo-koilocytosis may be discerned Figure 2. Lesion appears reminiscent of urothelial metaplasia upon histological evaluation [3,4].
HSIL: High grade squamous intraepithelial lesion.
Figure 1: Atrophy of uterine cervix demonstrating superficial layer of bland, immature stratified squamous epithelial cells with prominent intercellular bridges and incorporation with uniform, elongated, grooved, hyperchromatic nuclei. Constituent cells lack cellular or nuclear atypia or mitotic figures (7).

Figure 2: Atrophy of uterine cervix delineating superficial layer of uniform, immature stratified squamous epithelium with prominent intercellular bridges and permeation with bland, elongated, grooved, hyperchromatic nuclei. Cellular components are devoid of cellular or nuclear atypia or mitotic figures (8).

Constituent cells of atrophy of uterine cervix appear immune non-reactive to cyclin E and p16. Ki 67 labelling index is minimal [5,6]. Atrophy of uterine cervix requires segregation from neoplasms such as squamous intraepithelial lesion (SIL) or tumour diathesis. Atrophy of uterine cervix can be appropriately treated with o estrogen which may induce maturation of atypical atrophic squamous epithelial cells although population of dysplastic cells remains unresponsive to o estrogen therapy (5,6). Atrophy of uterine cervix mandates evaluation of human papilloma virus (HPV) infection as a preliminary modality of disease management modality [7,8]. Aforesaid treatment strategy may be beneficially adopted within postmenopausal women demonstrating cytological features of low grade squamous intraepithelial lesion (LSIL) (5,6).
Bio chemistry
University of Texas Medical Branch, USA
Department of Criminal Justice
Liberty University, USA
Department of Psychiatry
University of Kentucky, USA
Department of Medicine
Gally International Biomedical Research & Consulting LLC, USA
Department of Urbanisation and Agricultural
Montreal university, USA
Oral & Maxillofacial Pathology
New York University, USA
Gastroenterology and Hepatology
University of Alabama, UK
Department of Medicine
Universities of Bradford, UK
Oncology
Circulogene Theranostics, England
Radiation Chemistry
National University of Mexico, USA
Analytical Chemistry
Wentworth Institute of Technology, USAMinimally Invasive Surgery
Mercer University school of Medicine, USA
Pediatric Dentistry
University of Athens , Greece
The annual scholar awards from Lupine Publishers honor a selected number Read More...
